Implantaten

Wanneer één of meerdere tanden of kiezen verloren zijn gegaan, bijvoorbeeld door een wortelbreuk of na een val, of wanneer bijvoorbeeld de opvolger van een melktand niet is aangelegd, kan een implantaat, met hierop een kroon of een brug geplaatst, een oplossing bieden.

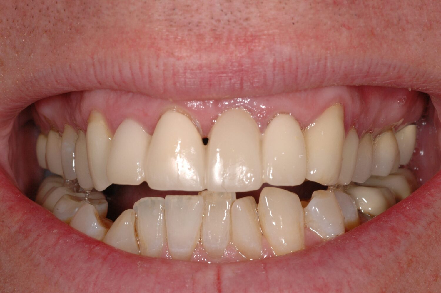
  • Voor behandeling

    before image

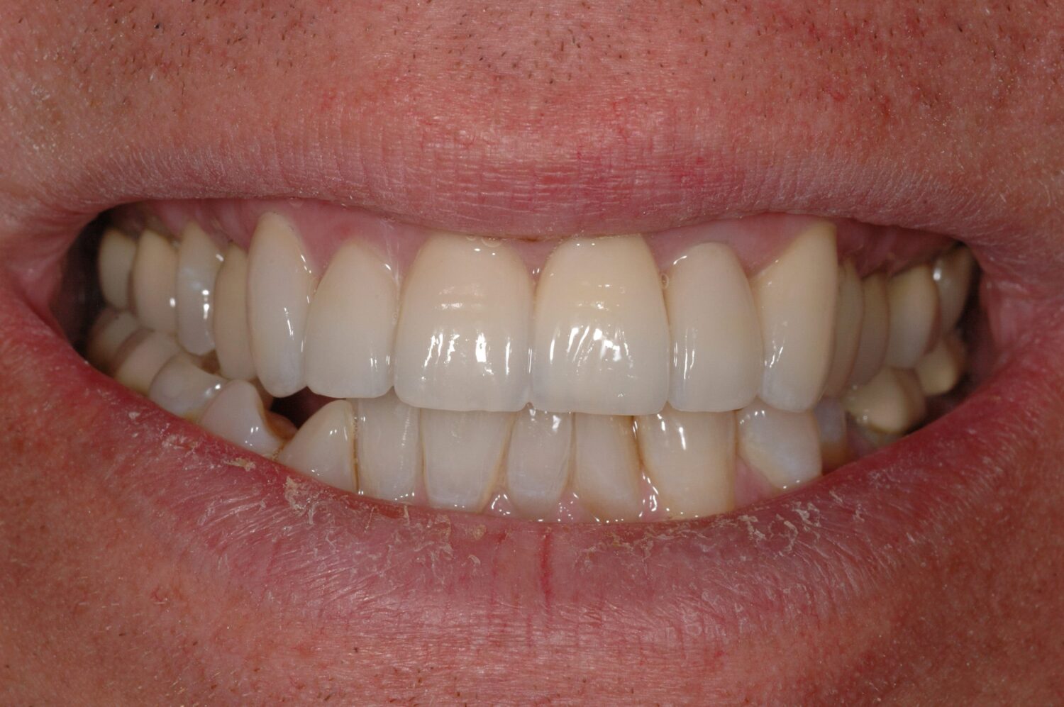
    Na behandeling

  • Voor behandeling

    before image

    Na behandeling

  • Voor behandeling

    before image

    Na behandeling

  • Voor behandeling

    before image

    Na behandeling

Houvast

Ook kunnen implantaten dienen om een prothese meer houvast te geven. Of er kan een volledige vaste brug op implantaten worden gemaakt, zodat het net lijkt of u uw eigen tanden weer terug heeft. Zie hiervoor ook het ´klikgebit´.

Voorkant van de mond

Wanneer het om uw voortanden gaat, of kiezen vooraan in de mond, is het belangrijk om een opbouw en een kroon te maken op het implantaat van een tandkleurig materiaal. In dit geval zal er gebruik gemaakt worden van Aluminiumoxide of Zirconium, zodat de uiteindelijke restauratie een mooie heldere, lichte kleur krijgt.
Wanneer in deze gevallen een grijze opbouw (van titanium) geplaatst zou worden met daaroverheen een goud-porselein kroon, kan er een onnatuurlijke grijze doorschemering aan de rand van de kroon bij het tandvlees zichtbaar zijn.

Ook wanneer er een tand of kies ontbreekt en de buurtanden nog gaaf zijn, heeft een implantaat met daarop een kroon een groot voordeel boven een brug; er hoeft namelijk geen gezond tandweefsel van de buurtanden opgeofferd te worden. Bij het prepareren van tanden voor een brug is dit wel het geval.

Het plaatsen van een implantaat is met de huidige technieken erg eenvoudig en a-traumatisch. Met een kleine lokale verdoving kan het implantaat geplaatst worden, er zijn nauwelijks nabezwaren.

Kortom: een hele mooie, eenvoudige manier om ontbrekende tanden te vervangen, waarbij de natuurlijke gebitssituatie heel dicht wordt benaderd!

  • Voor behandeling

    before image

    Na behandeling

  • Voor behandeling

    before image

    Na behandeling

  • Voor behandeling

    before image

    Na behandeling

  • Voor behandeling

    before image

    Na behandeling

Implantaten worden geplaatst door A.J. Michels, een ervaren tandarts-implantoloog, geregistreerd bij de Nederlandse Vereniging voor Orale Implantologie (NVOI).

In de eerste animatie zien we een keramische kroon op een implantaat geplaatst ter vervanging van een kies in de bovenkaak.

De tweede animatie laat het gebit van Jules zien.
Na een val van de trap is zijn voortand afgebroken. De tand is enkele keren gerepareerd en nu erg verkleurd.
Na verwijdering van het tandje is direct een implantaat (met een kunststof tijdelijke kroon) geplaatst. Na enkele weken is een witte Zirconium opbouw en een Zirconium kroon geplaatst. Deze kroon werd in het laboratorium in het bijzijn van de patiënt afgewerkt, zodat het een exacte kopie van zijn andere voortand is geworden en deze totaal niet opvalt wanneer hij breeduit lacht.

Kortom: superieure mogelijkheden door de natuur te reproduceren met implantaten.

Nobelguide